> >
Como gatos com demência podem ajudar a encontrar cura para o Alzheimer

Como gatos com demência podem ajudar a encontrar cura para o Alzheimer

Cientistas acreditam que a descoberta sobre semelhanças entre gatos e humanos pode ajudar em suas pesquisas sobre novos tratamentos para o Alzheimer.

Publicado em 15 de agosto de 2025 às 10:25

Imagem BBC Brasil
Cientistas em Edimburgo descobriram que a demência felina pode compartilhar vários fatores com o Alzheimer em humanos Crédito: Getty Images

Gatos desenvolvem demência de forma semelhante aos humanos com Alzheimer, o que gera expectativas de avanços nas pesquisas sobre a doença, segundo cientistas.

Demência é um termo geral para sintomas como perda de memória e raciocínio prejudicado, enquanto Alzheimer é uma doença neurodegenerativa específica que provoca esses sintomas.

Especialistas da Universidade de Edimburgo realizaram exames post-mortem nos cérebros de 25 gatos que apresentaram sintomas de demência em vida, incluindo confusão, distúrbios do sono e aumento da vocalização.

Eles encontraram acúmulo de beta-amiloide, uma proteína tóxica e uma das características definidoras do Alzheimer.

A descoberta foi considerada por cientistas como um "modelo natural perfeito para o Alzheimer", que poderá ajudá-los a explorar novos tratamentos para humanos.

Robert McGeachan, líder do estudo na Royal (Dick) School of Veterinary Studies da Universidade de Edimburgo, afirmou: "A demência é uma doença devastadora — seja em humanos, gatos ou cães".

"Nossas descobertas destacam as semelhanças impressionantes entre a demência felina e a doença de Alzheimer em pessoas", disse.

"Isso abre a possibilidade de investigar se novos tratamentos promissores para o Alzheimer humano também poderiam beneficiar nossos animais de estimação idosos."

Imagens de microscopia de gatos mais velhos que anteriormente apresentaram sintomas de demência felina revelaram um acúmulo de beta-amiloide nas sinapses — as junções entre as células cerebrais.

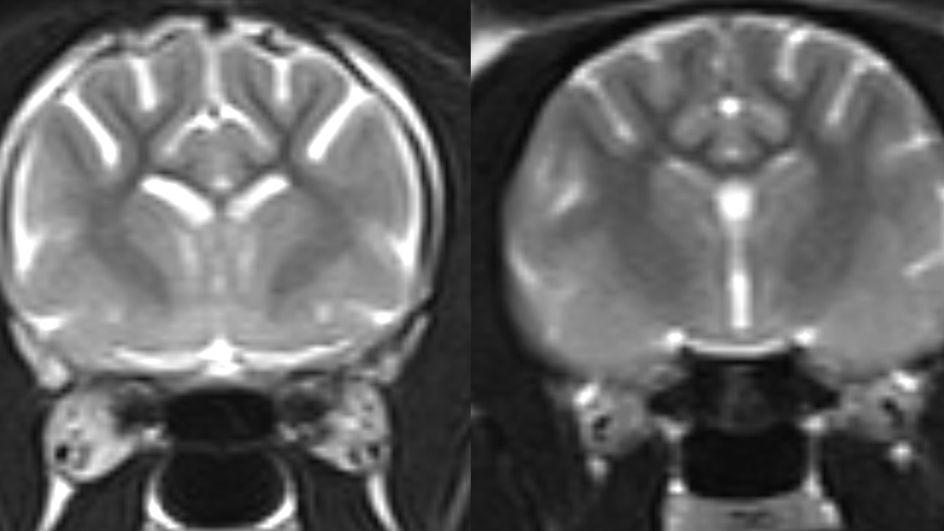
Imagem BBC Brasil
As áreas claras na imagem de ressonância magnética à esquerda mostram maior perda de tecido cerebral em um gato vivo com demência, em comparação com um cérebro felino normal, mostrado à direita Crédito: University of Edinburgh

As sinapses permitem a passagem de mensagens entre as células cerebrais, e a perda delas causa redução da memória e das habilidades de raciocínio em humanos com Alzheimer.

A equipe acredita que a descoberta em gatos pode ajudá-los a compreender melhor esse processo, oferecendo um modelo valioso para estudar a demência em pessoas.

Anteriormente, os pesquisadores estudaram roedores geneticamente modificados, embora essa espécie não desenvolva demência naturalmente.

"Como os gatos desenvolvem naturalmente essas alterações cerebrais, eles podem oferecer um modelo da doença mais preciso do que os animais de laboratório tradicionais, beneficiando tanto as espécies quanto seus cuidadores", disse McGeachan.

A pesquisa beneficiará os gatos?

Os pesquisadores encontraram evidências de que células de suporte do cérebro — chamadas astrócitos e microglia — englobaram as sinapses afetadas. Esse processo, conhecido como poda sináptica, é importante durante o desenvolvimento cerebral, mas também contribui para a demência.

A professora Danielle Gunn-Moore, especialista em medicina felina da escola de veterinária, disse que a descoberta também pode ajudar a compreender e a manejar a demência felina.

"A demência felina é extremamente angustiante para o gato e para seu dono", afirmou.

"É por meio de estudos como este que entenderemos a melhor forma de tratá-los. Isso será maravilhoso para os gatos, seus donos, pessoas com Alzheimer e seus familiares."

O grupo de defesa dos direitos dos animais People for the Ethical Treatment of Animals (PETA) disse que o estudo parece ter sido conduzido de maneira "respeitosa e não invasiva" em cérebros de gatos que já haviam morrido.

No entanto, ressaltou que se oporia a qualquer pesquisa que envolvesse experimentos futuros com gatos vivos.

O estudo, financiado pela fundação Wellcome e pelo UK Dementia Research Institute, foi publicado noEuropean Journal of Neurosciencee contou com cientistas das Universidades de Edimburgo e Califórnia, do UK Dementia Research Institute e do Scottish Brain Sciences.

Este vídeo pode te interessar

  • Viu algum erro?
  • Fale com a redação

A Gazeta integra o

The Trust Project
Saiba mais