Sair
Assine
Entrar

  • Início
  • Mundo
  • Cientistas conseguem avanço inédito em tratamento de doença degenerativa com terapia genética
Mundo

Cientistas conseguem avanço inédito em tratamento de doença degenerativa com terapia genética

A doença de Huntington, uma das enfermidades mais devastadoras que existem, finalmente tem tratamento para reduzir sua progressão e transformar vidas.

Publicado em 25 de Setembro de 2025 às 10:33

BBC News Brasil

Publicado em 

25 set 2025 às 10:33
Imagem BBC Brasil
Os professores Ed Wild e Sarah Tabrizi lideraram a participação britânica no teste Crédito: BBC/Fergus Walsh
Médicos afirmam terem tratado com sucesso, pela primeira vez, a doença de Huntington, uma das mais cruéis e devastadoras enfermidades que existem no mundo.
A doença é genética, mata células cerebrais e seus pacientes parecem sofrer de uma combinação de demência, mal de Parkinson e doença do neurônio motor.
A equipe de pesquisa ficou emocionada e chegou às lágrimas, ao descrever os dados que demonstram que a velocidade de avanço da doença foi reduzida em 75%.
Isso significa que o declínio normalmente esperado em um ano levaria quatro anos para ocorrer após o tratamento, oferecendo aos pacientes décadas de "boa qualidade de vida", declarou à BBC a professora Sarah Tabrizi.
O novo tratamento é uma espécie de terapia genética, administrada durante uma delicada cirurgia cerebral, que dura entre 12 e 18 horas.
Os primeiros sintomas da doença de Huntington costumam surgir na casa dos 30 ou 40 anos de idade. Ela normalmente é fatal em questão de duas décadas, o que abre a possibilidade de que o tratamento precoce possa até impedir o surgimento dos sintomas.
Tabrizi é diretora do Centro de Doença de Huntington do University College de Londres (UCL). Ela descreveu os resultados como "espetaculares".
"Nunca, nem nos nossos sonhos mais extravagantes, teríamos esperado uma redução de 75% da velocidade de progressão clínica", declarou ela.
Os pacientes tratados não foram identificados, mas um deles foi aposentado por razões médicas e voltou a trabalhar. Outros participantes do teste continuam andando, quando já era esperado que eles precisassem de cadeira de rodas.
O tratamento provavelmente será muito caro. Mas este é um momento de real esperança para o tratamento de uma doença que atinge as pessoas no melhor momento da vida, devastando famílias em todo o mundo.
Imagem BBC Brasil
Jack May-Davis é portador do gene causador da doença de Huntington Crédito: BBC/Fergus Walsh
A doença de Huntington é uma presença na família de Jack May-Davis. Ele tem o gene que causa a enfermidade, como ocorreu com seu pai, Fred, e sua avó, Joyce.
Ele conta que foi "realmente terrível e assustador" assistir ao inexorável declínio do seu pai.
Os primeiros sintomas de Fred May-Davis surgiram com pouco menos de 40 anos de idade. Eles incluíram mudanças de comportamento e dos seus movimentos.
Ele chegou a precisar de cuidados paliativos 24 horas por dia, sete dias por semana, antes de morrer em 2016, com 54 anos.
Jack May-Davis tem 30 anos de idade. Ele trabalha como auxiliar em um escritório de advocacia, ficou recentemente noivo de Chloe e participou da pesquisa do UCL .
Ele sempre soube que estava destinado a passar pelo mesmo processo do pai, pelo menos até hoje.
Ele conta que esta descoberta "absolutamente incrível" o deixou "maravilhado". Agora, ele pode olhar para um futuro que "parece um pouco mais alegre e me permite pensar que a minha vida poderá ser muito mais longa".
Imagem BBC Brasil
Jack May-Davis jovem com seu pai, Fred, que morreu devido à doença de Huntington Crédito: Arquivo de família
A doença de Huntington é causada por um erro de DNA chamado gene huntingtino.
Se um dos seus pais tiver a enfermidade, existe 50% de possibilidade que você herde o gene alterado e acabe também desenvolvendo a doença.
Esta mutação transforma uma proteína normal, necessária para o cérebro — a proteína huntingtina —, em um assassino de neurônios. O objetivo do tratamento é reduzir permanentemente os níveis dessa proteína tóxica, em uma única dose.
A terapia faz uso de medicina genética de ponta. Ela combina a terapia genética com tecnologias de silenciamento de genes.
Imagem BBC Brasil
Crédito: BBC
Tudo começa com um vírus seguro, que foi alterado para conter uma sequência de DNA especialmente projetada.
Ele é introduzido profundamente no cérebro, usando imagens de ressonância magnética para orientar um microcateter em duas regiões do cérebro, o núcleo caudado e o putâmen. A neurocirurgia leva entre 12 e 18 horas.
O vírus age, então, como um carteiro microscópico, fornecendo o novo trecho de DNA para o interior das células cerebrais, onde é ativado.
Este procedimento transforma os neurônios em uma fábrica produtora da terapia, evitando sua própria morte.
As células produzem um pequeno fragmento de material genético (chamado microRNA), projetado para interceptar e desativar as instruções enviadas pelo DNA das células (RNA mensageiro), para construir huntingtina mutante.
O processo resulta na redução dos níveis de huntingtina mutante no cérebro.
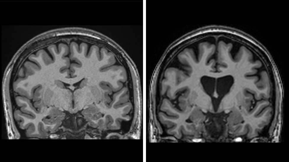
Imagem BBC Brasil
A imagem à esquerda mostra um cérebro saudável. À direita, vemos a perda de matéria cerebral, devido à morte de neurônios causada pela doença de Huntington. Crédito: UCLH
O teste envolveu 29 pacientes e os resultados foram divulgados em uma declaração da empresa uniQure. Mas eles ainda não foram completamente publicados para análise por outros especialistas.
Os dados demonstram que, três anos após a cirurgia, houve, em média, 75% de redução da velocidade de avanço da doença, com base em uma medição que combina a cognição, funções motoras e a capacidade de se autogerenciar no dia a dia.
Os dados também demonstram que o tratamento está salvando as células cerebrais.
Os níveis de neurofilamentos no fluido espinhal (um claro sinal da morte de células do cérebro) deveriam ter aumentado em um terço, se a doença continuasse a progredir. Mas, na verdade, eles são inferiores aos do início do teste.
"Este é o resultado que estávamos esperando", segundo o professor Ed Wild, consultor em neurologia do Hospital Nacional de Neurologia e Neurocirurgia do UCL.
"Havia uma grande possibilidade de nunca observarmos um resultado como este. Por isso, viver em um mundo em que não só sabemos que isso é possível, mas podemos observar a real magnitude dos seus efeitos, é de tirar o fôlego. É muito difícil reprimir completamente a emoção."
Wild declarou que pensar nos impactos que esta técnica pode ter sobre as famílias "traz algumas lágrimas".

Segurança com alto custo

O tratamento foi considerado seguro, mas alguns pacientes, de fato, desenvolveram inflamações causadas pelo vírus, gerando confusão e dores de cabeça. Estes sintomas se resolveram sozinhos ou exigiram tratamento com esteroides.
Wild prevê que a terapia "deverá ser duradoura", pois o corpo não substitui as células cerebrais da mesma forma que ocorre com o sangue, os ossos e a pele, que são constantemente renovados.
Cerca de 75 mil pessoas sofrem da doença de Huntington no Reino Unido, nos EUA e na Europa. E centenas de milhares carregam a mutação, o que significa que elas irão desenvolver a doença.
No Brasil, não existem estatísticas oficiais, mas o Ministério da Saúde estima a existência de "13 mil a 19 mil portadores do gene e de 65 mil a 95 mil pessoas em risco".
A uniQure afirma que irá solicitar a licença nos Estados Unidos no primeiro trimestre de 2026. O objetivo é lançar o medicamento no final do ano que vem.
Os contatos com autoridades britânicas e da União Europeia serão iniciados no próximo ano, mas o foco inicial serão os Estados Unidos.
O responsável médico da uniQure, Walid Abi-Saab, declarou estar "incrivelmente entusiasmado" com o significado desses resultados para as famílias. Ele destacou que o tratamento tem "potencial de transformar fundamentalmente" a doença de Huntington.
Mas o medicamento não será disponível para todos, devido à alta complexidade da cirurgia e aos custos já calculados. "Certamente, será caro", segundo ele.
Não há um preço oficial para a medicação. As terapias genéticas, muitas vezes, têm altos custos, mas seus impactos a longo prazo fazem com que elas ainda possam ser acessível.
No Reino Unido, o serviço público de saúde NHS paga 2,6 milhões de libras (cerca de R$ 18,6 milhões) por paciente, para oferecer terapia genética contra a hemofilia B.

Apenas 'o começo'

Tabrizi afirma que esta terapia genética "é o começo" e irá abrir as portas para terapias que possam atingir mais pessoas.
Ela destaca os voluntários "muito corajosos" que participaram do teste e conta que ficou "exultante pelos pacientes e pelas famílias".
Tabrizi já trabalha junto a um grupo de jovens que sabem que têm o gene, mas ainda não apresentam sintomas. Eles têm o que é conhecido como Huntington em estágio zero.
Ela pretende realizar o primeiro teste de prevenção, para observar se a doença pode ser significativamente retardada ou até suspensa por completo.

Este vídeo pode te interessar

Viu algum erro?
Fale com a redação
Informar erro!

Notou alguma informação incorreta no conteúdo de A Gazeta? Nos ajude a corrigir o mais rapido possível! Clique no botão ao lado e envie sua mensagem

Fale com a gente

Envie sua sugestão, comentário ou crítica diretamente aos editores de A Gazeta

A Gazeta integra o

Saiba mais

Recomendado para você

big trail café off-road
Big Trail Café Off-Road agita Vila Velha neste domingo (24)
Imagem BBC Brasil
Aumento de câncer em jovens: o que estudo do Reino Unido descobriu e como resultados espelham a realidade brasileira
Deputados Amaro Neto e Da Vitória pediram retirada de assinatura de emendas que alteram a PEC que trata do fim da escala 6X1
Deputados do ES recuam e retiram assinaturas de emendas que adiam fim da escala 6x1

© 1996 - 2024 A Gazeta. Todos os direitos reservados